Full denture
ドイツ式総入れ歯
ドイツ式総入れ歯
当院の総入れ歯治療には保険診療と自費診療があり、患者様のご希望に応じてどちらも対応が可能です。
保険診療は、保険制度で決められた治療内容と費用になります。
自費診療は、より見た目をよくするための治療や、より快適性を求める治療となります。
精密入れ歯は20代以上の方であれば何歳でも対応が可能です。若くして入れ歯となった方、インプラントができない方など、入れ歯とはわからない入れ歯にすることが可能です。
当院の総入れ歯は、歯科先進国ドイツで開発された「ドイツ式総入れ歯(上下顎同時印象法によるシュトラックデンチャー)」を採用しています。

IPSG包括歯科医療研究会 稲葉繁先生直伝の、完璧な精度にまで高めた世界最高と言っても過言ではない総入れ歯です。


シュトラックデンチャーについて、当院のブログ記事でもご紹介しておりますのでご覧ください。
具体的な治療方法はIPSG包括歯科医療研究会のブログもご参照ください。
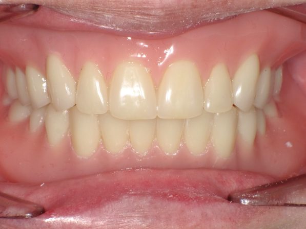
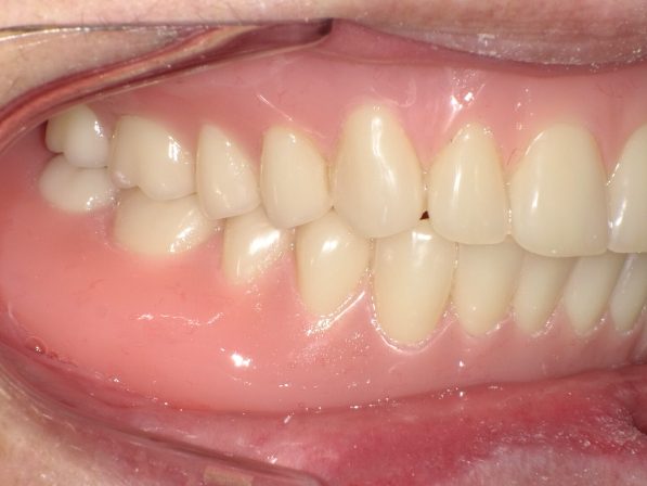
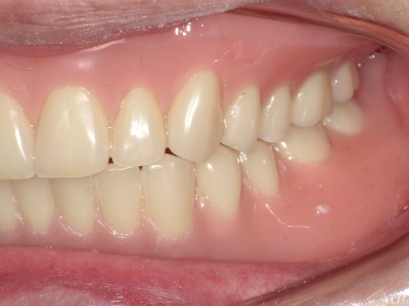
当院における「ドイツ式総入れ歯(シュトラックデンチャー)」の事例です。
こちらの動画は総入れ歯を外したり付けたりしている動画ですが、入れ歯が外れる前に入れ歯がしっかり吸着していることがお分かりいただけると思います。
当院の歯科医師は咬み合わせを根本から学び、精度の高い入れ歯を制作する歯科スタディーグループ(IPSG包括歯科医療研究会)に所属しております。
全国で認定された約20名のVIP会員として、毎月2回入れ歯技術を研鑽する研修会、症例検討会を実施しています。
日本顎咬合学会(2016年)
演題:
「少数歯残存症例に有効なレジリエンツテレスコープを用いた交差咬合改善義歯」